La scoperta della cellula avvenne nel lontano XVII secolo grazie all’invenzione della microscopia. La costruzione e l’utilizzo di microscopi rudimentali aprirono le porte ad un mondo invisibile che oggi definiamo biologia cellulare. Verso la fine del 1800, numerosi scienziati si prodigarono nell’esplorazione microscopica di questa affascinante struttura grazie alla commercializzazione dei primi microscopi. Questo movimento portò alla scoperta e alla descrizione di numerose strutture tra cui nucleo, mitocondri, vacuoli e ciglia. Tuttavia, molti di questi organelli vennero poco considerati dalla comunità scientifica in quanto erroneamente considerati inutili o inermi. Come ben sappiamo però, all’interno della cellula non esistono componenti inutili e molti degli organelli dimenticati sono ora argomenti centrali della biologia moderna.

Figura 1: A. A fine 800 numerosi scienziati identificarono e riportarono nelle loro pubblicazioni delle protrusioni cellulari. Sebbene Zimmermann sia considerato il primo scienziato ad aver descritto le ciglia nella sua pubblicazione “Beiträge zur Kenntniss einiger Drüsen und Epithelien” del 1898 (A3), altri scienziati come Kowalevsky (A1) e Langerhans (A2) osservarono questo organello già nel 1879 e 1876 rispettivamente (1). In A4 un disegno pubblicato da Joseph nel 1903, il quale definì le ciglia tra le strutture più difficili da visualizzare al microscopio. B. Immagine di un fotorecettore ottenuta con microscopia elettronica a trasmissione e pubblicata da Sjostrand nel 1953 (2). Viene considerata la prima immagine TEM di un ciglio primario. C. Frames di un esperimento in time-lapse ottenuto con microscopia ottica nel 1993 da Kozminski (3): i suoi studi sul trasporto intraflagellare aprirono una nuova era per questi organelli.
Con le ciglia (organello che prende il nome dal latino cilia proprio per la sua forma) successe esattamente così. Descritte per la prima volta sul finire dell’800 da numerosi scienziati (Figura 1A), sia le ciglia mobili che non-mobili vennero identificate. Sebbene l’attenzione ricadde principalmente sulle ciglia mobili, ben presto queste protrusioni cellulari finirono nel dimenticatoio.
A ridare spolvero a questo organello fu ancora una volta la microscopia, ma in questo caso quella elettronica: nel 1953 lo sviluppo e la diffusione dei microscopi elettronici a trasmissione (TEM) riaccese l’interesse per lo studio di ciglia e strutture affini come flagelli, centrioli e corpi basali (Figura 1B). La consacrazione finale arrivò negli anni 90, quando una serie di pubblicazioni rivelarono il ruolo chiave delle ciglia come sensori molecolari e il loro coinvolgimento in svariate patologie che oggi vengono definite ciliopatie. Anche in questo caso la microscopia giocò un ruolo essenziale, infatti nella pubblicazione che diede il via a questa serie di scoperte venne utilizzato un sistema di live-imaging per descrivere il trasposto intraflagellare (Figura 1C).
È dunque evidente di come la storia delle ciglia e della microscopia siano inscindibili. Gli avanzamenti tecnologici nel mondo della microscopia hanno contribuito ad ogni passo della scoperta di questa “antenna cellulare”. In questa application note andremo ad analizzare le principali tecniche di microscopia per lo studio delle ciglia.

La microscopia a luce trasmessa fu la prima tecnica di microscopia inventata e la prima ad essere utilizzata per visualizzare le cellule e i suoi organelli. In generale questa metodologia produce immagini a basso contrasto e risoluzione, sia in bianco e nero che con colorazioni. Verso fine 800 numerosi organelli vennero descritti per la prima volta, tra cui le ciglia. Tuttavia, la microscopia a luce trasmessa non si presta particolarmente allo studio delle ciglia e fu lo stesso Joseph a sottolineare che fu “largely a matter of luck to be able to see this fine little thread” (1). Per quanto la tecnica differential interference contrast (DIC) permette di visualizzare le ciglia agevolmente, la microscopia a luce trasmessa attualmente trova sempre meno impiego vista la ridotta qualità dell’immagine.
La tecnica di microscopia che garantisce il massimo ingrandimento possibile è indubbiamente la microscopia elettronica a trasmissione (TEM). L’alta risoluzione della microscopia elettronica a trasmissione contribuì enormemente alla descrizione delle strutture cellulari. Nel caso delle ciglia, il TEM giocò un ruolo determinante rilanciando l’interesse verso questo organello. Attualmente, la microscopia elettronica gioca ancora un ruolo essenziale in biologia cellulare, ma la preparativa complessa del campione, l’incapacità di marcare proteine specifiche e la staticità delle immagini ottenibili ne limita il suo impiego per lo studio di organelli dinamici come le ciglia.
Tra le tecniche più utilizzate in biologia troviamo la microscopia a fluorescenza. Dalla modalità base widefield alla microscopia confocale, la fluorescenza è ormai onnipresente in tutti i laboratori di ricerca ed ha contribuito enormemente allo studio di qualsiasi struttura cellulare. Questi strumenti hanno subito importanti sviluppi negli anni, portando alla microscopia a 2 fotoni e ai microscopi super-resolution. In generale, la microscopia a fluorescenza implica l’utilizzo di campioni fissati e il processo di fissazione e permeabilizzazione spesso altera la struttura delle ciglia. Per questo motivo, le tecniche di fluo-based live-imaging sono sempre più utilizzate per lo studio di questo organello.
I primi holotomographic microscopes al mondo sono stati prodotti da Nanolive, pionieri di questa tecnologia. Combinando olografia e tomografia permettono di ottenere un’immagine ad altissima risoluzione e sensibilità senza danneggiare il campione. Ad oggi, Nanolive rappresenta il gold-standard del Live-imaging Label-free in vitro e permette di visualizzare e seguire nel tempo organelli dinamici come le ciglia.
Microscopia Elettronica
A porre fine all’immeritato oblio delle ciglia fu la microscopia elettronica a trasmissione. La produzione di immagini ad alta risoluzione riaccese l’interesse per questa protrusione cellulare, ma soprattutto fornì importanti informazioni riguardo la struttura dell’organello. La celebre conformazione oggi conosciuta come assonema venne scoperta proprio attraverso il TEM [1]. L’assonema caratterizza tutte le ciglia e consiste in 9 coppie di microtubuli disposte circolarmente: le ciglia mobili possiedono un’ulteriore coppia di microtubuli centrale (detta conformazione 9+2), che non è presente nelle ciglia non-mobili (9+0). Questa classificazione non sempre è rispettata infatti alcune ciglia non-mobili presentano una struttura 9+2 dimostrando una certa variabilità dell’organello. Le ciglia non-mobili, oggi chiamate ciglia primarie sono presenti in quasi tutti i tipi di cellule del nostro corpo e fungono da “antenna molecolare” raccogliendo informazioni e segnali dall’ambiente circostante. Le ciglia mobili invece si presentano numerose sulla superficie della cellula e ricoprono ruoli più “meccanici” come ad esempio la spinta del muco nelle vie respiratorie.

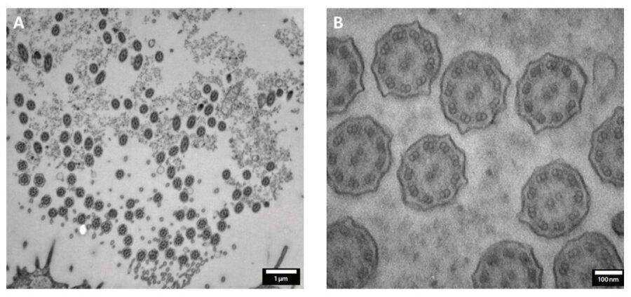
Figura 3: Cellule epiteliali nasali osservate a due ingrandimenti differenti con LVEM25 di Delong Instruments. Le numerose ciglia presenti sulla superficie di queste cellule presentano chiaramente una struttura 9+2.
L’alta risoluzione della microscopia elettronica a trasmissione portò alla creazione del primo studio a livello nanometrico dell’anatomia tridimensionale del ciglio primario. Grazie all’utilizzo di una serie di sezioni ultrafine fu possibile nel 1978 ricostruire tridimensionalmente la struttura di un singolo ciglio primario. Ad oggi, il TEM ricopre ancora un ruolo importante nello studio della struttura di queste protrusioni cellulari, grazie anche allo sviluppo di nuove tecnologie come la electron tomography le quali consentono di accedere ad una maggior risoluzione spaziale senza l’inevitabile perdita di informazioni dovuta al sectioning (essenziale nella tecnica convenzionale). Esempi di immagini ottenute con il TEM sono riportate in figura 3. Nello specifico osserviamo due ingrandimenti dello stesso campione di cellule epiteliali nasali acquisite con LVEM25 di Delong Instrument, un TEM a basso voltaggio adatto per l’analisi di campioni biologici. Essendo un organello superficiale, le ciglia possono essere visualizzate anche con la microscopia elettronica a scansione. Con il SEM è possibile osservare la struttura e la morfologia delle ciglia sulla superfice della cellula e anche questa tecnica è stata ampiamente utilizzata per lo studio di questo organello. Tuttavia, la sola immagine superficiale non fornisce informazioni riguardo la struttura interna e la staticità delle immagini assieme alla preparazione del campione ne limita il suo utilizzo.
[1] La struttura dell’assonema venne identificata con il TEM, ma alcune ipotesi erano già state formulate a fine 800 utilizzando la microscopia ottica.
Microscopia a Fluorescenza
La microscopia a fluorescenza è tra le tecniche più utilizzate nel campo della ricerca, grazie alla sua capacità di visualizzare dettagli all’interno di cellule vive o fissate con alta sensibilità e specificità. Lo sviluppo tecnologico, informatico e molecolare ha reso la microscopia a fluorescenza adatta a innumerevoli applicazioni con performance sempre migliori. La microscopia a fluorescenza base, anche detta widefield, utilizza una sorgente a raggi UV e visibile per eccitare il campione fluorescente ottenendo un’immagine ad alta risoluzione nella quale è possibile identificare cellule e componenti subcellulari con elevata specificità distinguendoli dagli elementi non fluorescenti. Negli anni 80 venne inventato il microscopio confocale, evoluzione della microscopia widefield. Tale tecnologia consiste nell’inserimento di un pinhole (letteralmente un foro) lungo il lightpath (percorso della luce) in grado di bloccare i raggi provenienti dai piani fuori fuoco. In questo modo, la cosiddetta fluorescenza secondaria viene eliminata e la qualità dell’immagine migliorata notevolmente. La qualità è ulteriormente migliorata dall’utilizzo dei laser, resi necessari dall’inserimento del pinhole in quanto in grado di garantire alta intensità luminosa in un singolo punto. Insieme, queste caratteristiche rendono i sistemi confocali perfetti per l’imaging di dettagli subcellulari, con immagini ad altissima risoluzione e ricostruzioni 3D di Z stack.
I principali limiti dei microscopi confocali laser-scanning sono legati allo spessore del campione e alla velocità di acquisizione. Sebbene i moderni laser-scanning siano migliorati molto su questi aspetti, l’utilizzo di laser nel campo del visibile non garantisce un alto potere penetrante pertanto solamente campioni sotto un certo spessore possono essere visualizzati. Inoltre, la presenza di un unico foro implica l’acquisizione dell’immagine punto per punto compiendo una serpentina (da qui il nome laser-scanning) rallentando notevolmente il processo di acquisizione. Nel caso delle ciglia, dove movimenti e eventi subcellulari avvengono nell’ordine di secondi, è essenziale un’elevata velocità di acquisizione. Tale ostacolo fu risolto con la creazione dei sistemi spinning disk caratterizzati da un disco rotante sul quale sono distribuiti numerosi pinhole. Ruotando, lo spinning disk permette l’acquisizione di più punti simultaneamente aumentando dunque la velocità. Un’ulteriore evoluzione di questi sistemi arriva da Aurox, particolari spinning disk caratterizzati da una griglia in sostituzione dei pinhole e che utilizzano sorgenti LED. Questi strumenti si adattano perfettamente allo studio delle ciglia in quanto, grazie ai LED, garantiscono una ridotta fototossicità e velocità di acquisizione. Inoltre, il confocale spinning disk Aurox Unity è dotato di un incubatore integrato, rendendo il fluo-based live-imaging estremamente semplice (Figura 4A). Sistemi come Aurox Unity si prestano perfettamente per le analisi delle dinamiche delle ciglia. Lo sviluppo di protocolli e marcatori a fluorescenza consentono lo studio della formazione delle ciglia e del loro posizionamento rispetto ad altre strutture cellulari (Figura 4B). Inoltre, un grande vantaggio del fluo-based live-imaging è la possibilità di localizzare specifiche proteine e studiarne il loro trasporto lungo il ciglio.
L’Olotomografia di Nanolive
Uno degli strumenti più rivoluzionari nella ricerca è senza dubbio il 3D Cell Explorer di Nanolive, primo microscopio olotomografico al mondo in grado di visualizzare cellule vive in 3D e in time-lapse senza l’utilizzo di marcatori fluorescenti. L’assenza di fluorescenza elimina totalmente tutti i problemi legati alla fototossicità, rendendo Nanolive un microscopio perfettamente adatto ad esperimenti di live-imaging con ogni tipo di coltura cellulare. Nonostante l’assenza di marcatori, Nanolive genera immagini sfruttando l’indice di rifrazione del campione, ad alta risoluzione e in 3D (200nm di risoluzione laterale, 400nm di risoluzione assiale), permettendo l’imaging anche di dettagli subcellulari, come i mitocondri e lipid droplets. L’alta risoluzione tridimensionale, assieme al live-imaging senza tossicità, rendono l’olotomografia di Nanolive l’approccio perfetto per l’osservazione unbiased delle dinamiche delle ciglia in vitro.
A conferma di quanto affermato, in figura 5 sono riportate immagini ottenute con l’olotomografia di Nanolive, nelle quali è possibile osservare le ciglia sia in 2D che in 3D. Le potenzialità dell’imaging di Nanolive sono dunque evidenti, consentendo la visualizzazione delle ciglia in maniera immediata e senza marcatori garantendo la salute del campione senza rinunciare ad un’alta qualità d’immagine.

Figura 5: A. Singolo frame di un video prodotto con Nanolive. In particolare è possibile osservare una coltura cellulare di Xenopus caratterizzata dalla presenza di ciglia (colore più rosso, fake-colors assegnati post-acquisizione. Nanolive produce immagini in bianco e nero) B. Ricostruzione 3D dell’immagine precedente. In questo caso è possibile apprezzare maggiormente la presenza delle ciglia e il loro orientamento. Da notare come, grazie alla tecnologia non-invasiva di Nanolive, le ciglia sono disposte con un orientamento “naturale” e non alterato dalla preparazione del campione. Si consiglia la visione del video interno a questo link: NanoliveCiglia.
Conclusione
Nonostante furono definite “among the most optically difficult structure to study” (tra le strutture più difficili da studiare dal punto di vista ottico) dai loro stessi scopritori, le ciglia devono molto al mondo della microscopia. Dalla loro scoperta con i sistemi ottici a luce trasmessa alla loro “rinascita” grazie alla microscopia elettronica, dai live-imaging di fine anni 90 alle moderne tecniche di microscopia, le ciglia sono state osservate in innumerevoli modalità. Come spesso capita, non esiste la tecnica migliore per visualizzare un organello, ma è l’insieme di esse a fornire una completa analisi e informazione.
(1) Bloodgood RA. From central to rudimentary to primary: the history of an underappreciated organelle whose time has come. The primary cilium. Methods Cell Biol. 2009;94:3-52. doi: 10.1016/S0091-679X(08)94001-2. Epub 2009 Dec 23. PMID: 20362083.
(2) SJOSTRAND FS. The ultrastructure of the innersegments of the retinal rods of the guinea pig eye as revealed by electron microscopy. J Cell Comp Physiol. 1953 Aug;42(1):45-70. doi: 10.1002/jcp.1030420104. PMID: 13084706.
(3) Kozminski KG, Johnson KA, Forscher P, Rosenbaum JL. A motility in the eukaryotic flagellum unrelated to flagellar beating. Proc Natl Acad Sci U S A. 1993 Jun 15;90(12):5519-23. doi: 10.1073/pnas.90.12.5519. PMID: 8516294; PMCID: PMC46752.
(4) Jenks AD, Fivaz M, Tanos BE. Quantitative Determination of Primary Cilia Protein Distribution Using Immunofluorescence Staining and MATLAB Analysis. Bio Protoc. 2021 Dec 5;11(23):e4248. doi: 10.21769/BioProtoc.4248. PMID: 35005093; PMCID: PMC8678915.
Clicca qui e visita il nostro sito Media System Lab
Clicca qui e visita la nostra piattaforma di webinar e corsi on-line MS Academy Lab
