Un’alleata per la caratterizzazione avanzata di vettori AAV
Il successo clinico delle terapie geniche basate su vettori adeno-associati (AAV) dipende in modo critico dalla caratterizzazione accurata dell’eterogeneità della popolazione virale. In particolare, la determinazione quantitativa del rapporto tra empty, partial e full capsids, rappresenta un attributo di qualità fondamentale, direttamente correlato sia all’efficacia del trasferimento genico sia al profilo di sicurezza immunologica del prodotto finale.
La microscopia elettronica a trasmissione (TEM) è storicamente considerata il gold standard per questa analisi. Tuttavia, i sistemi TEM convenzionali operano tipicamente a tensioni di accelerazione elevate (100–300 kV), per le quali i campioni biologici a basso numero atomico risultano intrinsecamente deboli in termini di contrasto di massa-spessore.
Di conseguenza, l’osservazione dei capsidi virali richiede comunemente l’impiego di tecniche di contrasto artificiale, quali la colorazione negativa con sali di metalli pesanti, oppure l’uso della criogenia (Cryo-TEM); con l’obiettivo di preservare la morfologia e migliorare la visibilità delle strutture interne.
In questo contesto, la microscopia elettronica a bassa tensione (Low Voltage Electron Microscopy, LVEM) rappresenta un’alternativa metodologica di crescente interesse per l’analisi dei vettori AAV. L’utilizzo di tensioni di accelerazione significativamente ridotte (tipicamente 5–25 kV) aumenta la sezione d’urto per le interazioni elettrone–campione, aumentando il contrasto intrinseco nei materiali biologici non colorati.
Questo consente di discriminare differenze locali di densità elettronica, come quelle associate alla presenza o assenza del genoma virale all’interno del capside, per esempio.
I sistemi Delong per la microscopia low voltage (LVEM 5kV e 25kV) sfruttano questo principio fisico per ottenere immagini TEM ad alto contrasto anche in assenza di staining. In tali condizioni, i full capsids mostrano un core elettron-denso attribuibile al DNA eterocromatinico, mentre i capsidi vuoti appaiono come strutture ad anello con contrasto significativamente inferiore.
Questo approccio consente, in campioni opportunamente preparati, di limitare o in alcuni casi eliminare completamente la necessità di staining, riducendo il rischio di osservare artefatti morfologici indotti da interazioni chimiche o da effetti di collasso strutturale.

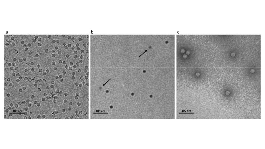
Fig. 1 – Confronto tra modalità di imaging: a) Cryo-TEM: i capsidi pieni presentano un core centrale scuro, mentre i capsidi vuoti mostrano un contrasto interno ridotto. b) LVEM a bassa tensione senza staining: distinzione diretta tra capsidi pieni (scuri) e vuoti (più chiari, frecce). c) LVEM con colorazione negativa. Scale bar: 100 nm.
Rispetto alla Cryo-TEM, l’LVEM offre una lettura più diretta e semplice del contenuto virale e, pur non sostituendola negli studi di biologia strutturale ad alta risoluzione, la microscopia low voltage si configura come uno strumento analitico complementare particolarmente adatto allo screening preliminare e allo sviluppo del processo analitico.
La microscopia a basso voltaggio (LVEM), grazie alla sua risoluzione nanometrica, consente di valutare l’integrità dei capsidi virali, identificare difetti strutturali e monitorare la stabilità dei vettori in diverse condizioni sperimentali.

Fig.2: Capacità risolutiva di Delong LVEM fino a 1nm. Scale bar di 20nm.
Grazie all’elevato contrasto intrinseco, alla preparazione del campione semplificata e alla stabilità dello strumento, i sistemi LVEM rappresentano piattaforme robuste per l’analisi rapida, riproducibile e scientificamente rigorosa della qualità dei vettori virali.

