Microscopia elettronica a trasmissione Low Voltage – Workshop

La microscopia elettronica a trasmissione Low Voltage soppianterà la tecnica TEM come è stata finora.

Il passaggio al Low Voltage rappresenta un’evoluzione significativa per la microscopia elettronica.

Vuoi scoprire come?

Ti invitiamo al prossimo Workshop di Media System Lab dedicato alla Low Voltage Electron Microscopy: una soluzione progettata per migliorare i limiti di contrasto dei sistemi tradizionali e rendere più accessibile la microscopia elettronica grazie a sistemi compatti e versatili.

Durante le sessioni pratiche, potrai testare la flessibilità dei TEM compatti Delong Instruments, che permettono di visualizzare i campioni attraverso molteplici modalità integrate: TEM, STEM, SEM, EDS Diffrazione.

Scopri se questa tecnica innovativa è stata pensata per te.
A chi è rivolto?
Il workshop è indirizzato a ricercatori, tecnici e professionisti che operano in:

🧫Scienze della Vita: LVEM è ideale per lo studio di biologia cellulare, vegetale e campioni di tessuto ultrasottili. La tecnologia Low Voltage permette di osservare strutture con elevato contrasto naturale, riducendo o eliminando la necessità di staining.

🔬Nanotecnologie: Specifico per la caratterizzazione morfologica di nanoparticles, nanotubuli e materiali polimerici. Ottimale per l’analisi di imperfezioni nella struttura cristallina di materiali sensibili al fascio elettronico

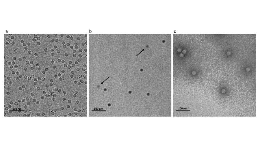
🦠Virologia e Biochimica: lo studio di virus, strutture macromolecolari, proteine e lipid droplets sono perfette applicazioni per LVEM. La risoluzione nanometrica dei sistemi Delong consente di misurare i dettagli strutturali di biomolecole e le strutture interne virali tramite modalità STEM.

💉Ricerca Biomedica: le applicazioni avanzate in immunologia, oncologia e patologia, i sistemi LVEM permettono di catturare immagini high-throughput, facilitando l’osservazione di campioni con immunolabeling con il dell’unstained.

Cosa vedrai nel workshop?
I microscopi elettronici compatti LVEM 5 & LVEM 25: Analisi delle performance dei modelli a 5kV e 25kV, capaci di restituire un contrasto naturale superiore su matrici biologiche e polimeriche.
Sessioni pratiche e test dei tuoi campioni.

Ultramicrotomia RMC PowerTome: Focus sulla preparazione di sezioni ultrasottili per risultati analitici di alta qualità.

Vieni a provare l’innovazione della microscopia elettronica a trasmissione, siediti comodamente con noi davanti ai microscopi e all’ultramicrotomo e confrontati con i nostri esperti, scopri come questi strumenti possono facilitare, velocizzare e migliorare il tuo lavoro e dare i risultati di cui hai bisogno nella tua ricerca.

Solo su prenotazione scrivendo una e-mail a info@m-s.it o chiamando 351.7603399. Prenota il tuo posto tra i microscopisti.

PRODOTTI CORRELATI A QUESTO ARTICOLO

APPLICATION NOTES CORRELATE A QUESTO ARTICOLO

ALTRE NOTIZIE

Grazie all’integrazione tra microscopia elettronica e spettroscopia a dispersione di energia (EDS) l’analisi dei campioni forensi diventa un tracciatore ecologico e geografico infallibile, mentre la caratterizzazione chimica elementale consente di[...]
Le spore fungine rappresentano la principale forma di disseminazione e sopravvivenza dei funghi. Si tratta di cellule altamente resistenti, capaci di persistere in condizioni ambientali sfavorevoli e di germinare quando[...]
Abbiamo appena chiuso una ottima esperienza a Pavia, abbiamo passato due settimane che hanno portato molte competenze del nostro Team a Pavia che per questo periodo si è trasformata nel[...]

RIMANI AGGIORNATO

Iscriviti alla nostra newsletter